歡迎訪問寶雞市人民醫院官網!
患者,男,左肺病變,為了查找全身有無其它病灶,明確分期,制定最合適的診療方案,臨床醫生決定行“類PET”即全身磁共振彌散成像(WB-DWI)檢查。

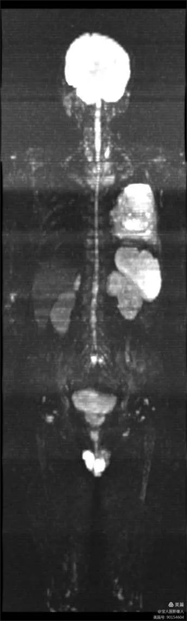
圖1:全身彌散成像圖像

圖2:全身彌散成像反轉圖

圖3:全身彌散成像偽彩圖
胸外科副主任吳明君非常重視患者此項檢查,多次與醫學影像科醫師溝通,協商診查方案。由于患者簽到時間臨時變化,經驗豐富的畢國強醫生,下夜班已回到家里了,得知情況,為了順利完美做好檢查,急忙從家中趕回科室,成功為患者完成了全身彌散成像檢查。
全身彌散成像技術特點
磁共振全身彌散加權成像(WB-DWI),是將彌散加權成像技術與自動拼接技術和全景成像矩陣相結合而獲得全身的彌散加權成像影像。所得影像經黑白翻轉后可達到與正電子發射計算機體層顯像(PET)影像類似的效果,故被稱為“類PET”,是近年來發展起來的全新影像檢查新技術。
該技術能夠進行全身大范圍掃描,并加以3D后處理重建,可獲得全身腫瘤篩查、良惡性腫瘤的鑒別、腫瘤TNM分期及療效隨診等診斷信息,全身彌散技術把肌肉、脂肪、肝臟等組織背景信號抑制掉,突出了病變的顯示,大大提高了病變組織尤其是惡性腫瘤及其轉移灶的檢出率。
全身彌散成像優勢
1.安全無創 無需注射放射性藥物,可以用于哺乳期、備孕期人群以及禁忌注射造影劑人群。可最快在10分鐘內完成全身腫瘤篩查。
2.高檢出率 具有軟組織分辨率高的優勢,尤其針對腦、肝臟、腎臟、子宮、前列腺等部位的結節、腫瘤、缺血灶等。
3.高清晰度 薄層多序列精細掃描,能同時完成二維橫斷面成像和三維空間成像。
4.一體化掃描 使用大體線圈,可一次檢查完成全身磁共振及增強檢查,大大提高肝臟、腎臟、胰腺、腦、脊髓、縱膈等器官疾病診斷。

圖4:彌散成像圖與類PET圖組合
適用人群
“類PET”能夠檢測到細胞級的病變,對惡性腫瘤的敏感性相當高。尤其對于有腫瘤家族史、全身轉移灶篩查、淋巴結轉移篩查、發現明確惡性腫瘤指征尋找原發灶、惡性血液腫瘤的病情監控、腫瘤疾病的篩查、健康體檢等人群具有很高的實用價值。
WB-DWI與PET比較的優勢
①.與PET-CT相比,對機體無任何損害無輻射;無需注射放射性藥物,避免經受放射性核素污染;
②.無需注射造影劑、檢查方便,可適用于危重患者及造影劑過敏的所有人群;
③.一次完成全身檢查,同時發現原發灶及全身各臟器轉移灶,有利于進行腫瘤TNM分期;
④.可作為對惡性腫瘤治療后長期隨訪檢查手段,也可作為健康人群腫瘤篩查的方法;
⑤.較PET-CT檢查費用相對低廉。
絕對禁忌癥
帶有心臟起搏器、神經刺激器者、人工金屬心臟瓣膜等的患者;?帶有動脈瘤夾者(非順磁性如鈦合金除外);
有眼內金屬異物、內耳植入、金屬假體者、金屬假肢、金屬關節(鈦合金除外)
體內鐵磁性異物者;
妊娠三個月內的早期妊娠者;
重度高熱患者。
相對禁忌癥
體內有金屬異物(金屬植入物,假牙、避孕環)、胰島素泵等患者如必須進行MR檢查,應慎重或取出后行檢查;
危重病人需要使用生命支持系統者;
癲癇患者(應在充分控制癥狀的前提下進行磁共振檢查);
幽閉恐懼癥患者,如必須進行MR檢查,應在給于適量鎮靜劑后進行;
不合作患者,如:小兒,應在給予適量鎮靜劑后進行;孕婦和嬰兒應征得醫生、患者及家屬同意后再行檢查。
溫馨提示
1,詳細告知臨床醫生病史,把控適應癥和禁忌癥;去除身上的所有金屬異物;穿舒適衣服。
2,配合磁共振檢查人員要求,安靜平躺不動,完成檢查。
聯系電話:0917—3272322;3272657
地址:寶雞市經二路新華巷24號 電話:0917-3272497 Email:bjsrmyydb@163.com
乘坐車次: 北門:4路、5路、6路、7路、8路、9路、10路、17路、36路 南門:33路、34路、37路、42路
Copyright ? 2021 版權所有:寶雞市人民醫院 陜ICP備18007727號-2 陜公網安備 61030002000113號 技術支持:伙伴網絡