歡迎訪問寶雞市人民醫院官網!
近日,在寶雞市人民醫院心內二科主任鄭廣生指導下,副主任李垚帶領介入團隊成功完成一列右冠嚴重鈣化病變支架植入術。
隨著人口老齡化的進展,我國冠心病人群病情日趨復雜,部分患者存在高齡、心衰、心律失常等多種情況,這類患者往往不能耐受外科手術,接受PCI手術的難度及風險也較高,而冠脈嚴重鈣化是影響手術效果的因素之一,術前仔細評估病情,術中充分處理病變可以極大地提高手術安全性,給患者帶來最大的獲益。
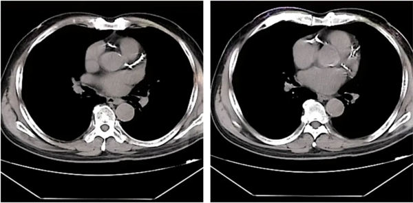
73歲的孟老先生,近期總感覺胸悶氣短,這癥狀斷斷續續三年了,近一周來癥狀加重,就診于我院心血管內二科,患者既往有“持續性心房顫動、高血壓”病史。入院后完善胸部CT提示:冠脈走形區鈣化明顯。

鄭廣生與患者及家屬充分溝通病情后建議行冠脈造影檢查,考慮患者冠脈鈣化嚴重,普通介入治療存在難度,術中需采用旋磨治療充分預處理病變后,再行球囊擴張及支架植入治療。
患者術前造影顯示:RCA全程彌漫性鈣化病變,近-中段狹窄70-90%,遠段狹窄70%。LM鈣化狹窄50%;LAD近段鈣化狹窄60-70%,D1近段狹窄60%;LCX近段鈣化狹窄50%,遠段狹窄70%。

術前造影影像
鄭廣生團隊經過對手術難點的分析提出了相應的手術策略順利為患者實施了手術:患者73歲高齡,冠脈多支嚴重鈣化狹窄,存在左主干病變,右冠重度鈣化,需要主動行冠脈旋磨治療,經充分處理右冠病變后,于右冠植入支架3枚。術后患者的胸悶、氣短癥狀明顯緩解,已于近日康復出院。

術后右冠造影影像
鄭廣生表示,血管重度鈣化一直是介入治療的難點,尤其是常規冠脈介入手術,有可能發生冠脈夾層、冠脈破裂、支架脫載等難以成功的風險。如何除掉生命通道的“難路巨石”,成為擺在介入醫師面前的一大挑戰。目前,冠狀動脈斑塊旋磨術被專家共識推薦為冠心病重度鈣化病變的首選,常被視為PCI治療過程中專用于解決中、重度鈣化斑塊的經典術式,也被稱為行走在血管里的“金剛鉆”。它的應用為嚴重鈣化病變提供了安全、有效的治療手段,科室也致力于為更多患者提供更加個性化的治療方案,助力更多冠心病患者重獲健康心。

地址:寶雞市經二路新華巷24號 電話:0917-3272497 Email:bjsrmyydb@163.com
乘坐車次: 北門:4路、5路、6路、7路、8路、9路、10路、17路、36路 南門:33路、34路、37路、42路
Copyright ? 2021 版權所有:寶雞市人民醫院 陜ICP備18007727號-2 陜公網安備 61030002000113號 技術支持:伙伴網絡